FRIGE scientists analyse utility of prenatal diagnosis for preventing rare genetic disorders in India
Systematic analysis of data of over 1700 prenatal samples from tertiary centre during 14 year period shows ~25% babies affected with a genetic disease.

The study published in the Orphanet Journal of Rare Diseases provides a systematic assessment of the utility and prevalance of rare genetic disorders which can be detected in foetal samples.
The study involved assessment of data from over 1700 patients which were referred for prenatal genetic testing during a 14 year period from 2008 to 2022.

Image showing referral patterns from India. Image taken from Sheth et al. 2025.
The study led by Dr. Jayesh Sheth identified nearly one fourth of prenatal samples were affected with a genetic abnormality. Nearly a half of affected foetuses had hematological disorders followed by inborn errors of metabolism, neurological, and musculoskeletal disorders.

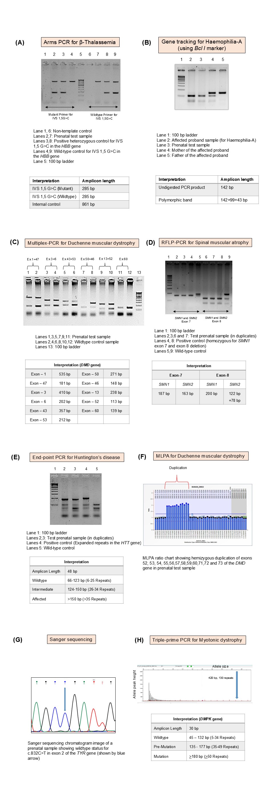
Image showing different techniques used during prenatal diagnosis. Image taken from Sheth et al. 2025.
We further show that Beta-thalassemia and sickle cell anemia were the most common blood related (hematological) disorders, whereas, spinal muscular atrophy and Duchenne muscular dystrophy were most common amongst neurological group.

Image showing distribution of rare genetic disorders by disease group. Images taken from Sheth et al. 2025.
The study also showed a steady decline in the number of cases for prenatal testing in hematological and inborn errors of metablism group, which is likely to be due to increase in number of government and private healthcare centres offering similar services.

Is this important for India?
In view of the upcoming treatment modalities for several rare diseases, it is necessary to have molecular epidemiological data of these diseases. This is one of the first systematic study would help the government prioritise disease prevention strategies at a national level.
Prevention by prenatal screening in families with a history of rare genetic diseases has gained importance and molecular epidemiology data helps in providing targeted interventions in certain communities or regions where these diseases are present in high numbers.
Collaboration among the clinical, research and diagnostic communities is needed to address the challenges of diagnosis, management, treatment and prevention of rare diseases in the country.
Who can you contact about rare diseases?
If you have been diagnosed with a genetic disorder or have a suspicion of a genetic disease, you can contact us to know more.
Who funded the study?
The study was funded by the Department of Biotechnology (India) and FRIGE-Bakeri Rare Disease Fund.